Merck 線上研討會 – 想知道如何達成高產率以及完成複雜蛋白質的表現嗎?
研討會內容
從細胞粗萃取物發展出的無細胞蛋白質表達 (Cell Free Protein Expression )系統,已作為研究工具使用了幾十年,為蛋白質表達技術帶來了許多有吸引力的優勢。
然而,採用CFPE系統作為傳統細胞表達方法的替代品,還有一個關鍵障礙尚未克服,那就是蛋白質產量相對較低的問題。
為了解決這一問題,新型 CFPE 系統-ALiCE® 利用植物細胞生物學創造了一種新的真核生物系統之無細胞表達系統。
ALiCE® 在批量下生產可提供前所未見高達 3 mg/mL 的蛋白質產量。
能在數小時而不是數周內獲得「難以生產」的蛋白質。(Enable folding and post-translational modifications of complex proteins, including disulfide bonds and glycosylation)
ALiCE® 系統包含蛋白質在體外轉錄和轉譯反應所需的所有因子,且步驟簡單 RNA 轉錄和轉換都可在單次反應管中完成。
在本場研討會中,您將學到:
- 如何選擇不同宿主系統表現蛋白質
- 製作重組 DNA 時的考量點以及相關工具介紹
- Cell-free 蛋白表現系統之技術突破說明
研討會適合對象:
- 實驗室主管
- 實驗室分析人員
- QC及QC經理
您將學到:
- 如何選擇不同宿主系統表現蛋白質
- 製作重組 DNA 時的考量點以及相關工具介紹
- Cell-free 蛋白表現系統之技術突破說明
研討會適合對象:
-
實驗室主管
- 實驗室分析人員
- QC及QC經理
講師介紹

台灣默克產品經理 Elton Cheng
研討會精彩回顧
研討會精選 Q&A
A1 :演講中所展現的數據,是使用2014年早期Buntru等人所研發的前一代BY-2 lysate。
而ALiCE是煙草BY-2 lysate的進化與改進版本,產率以及組裝效能也提升許多。
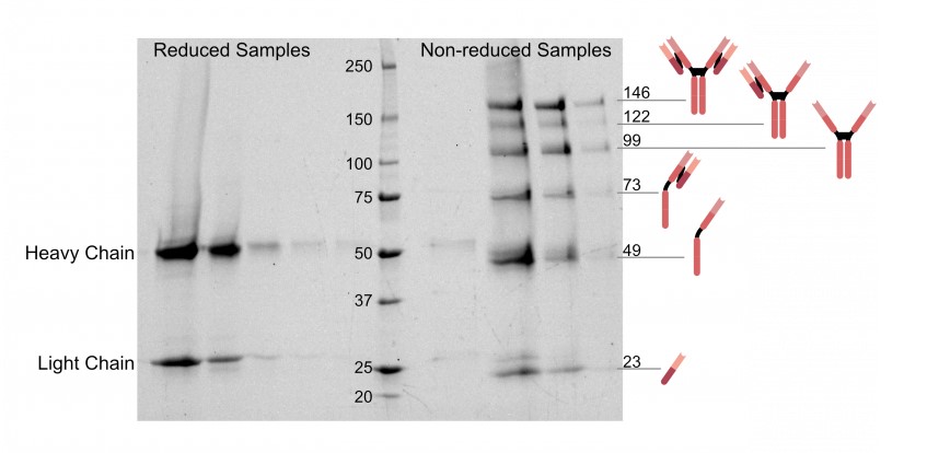
在2014年文獻PAGE中所出現的其他片段,是全長單株抗體在SDS-PAGE的非還原條件下,因分子內脫硫化物鍵中斷,故導致有不同重鏈以及輕鏈分子結構形成的中間物產生 (如下圖所示,資料提供者為 LenioBio);因此,會在PAGE中看到不同長度的片段。

Data from LenioBio R&D Internal. Humira (Adalimumab, humanized anti-TNF-α monoclonal antibody) expressed and purified from ALiCE®.
A2 : ALiCE®目前只能用於研究目的。 是的,有公司正在使用ALiCE® E表達疫苗相關的抗原。
A3 : 如前所述,ALiCE® 是先前描述的 BY-2 Lysate 的改進版本。此外,我們還進行了實驗條件的優化,以提高在ALiCE®產生的蛋白質的醣化比例。因此,像Gox(8個醣化位點)和SARS-CoV2(12個醣化位點)的S1 domain,這樣的蛋白質是可以被完全醣化的。
A4 : ALiCE®試劑效能,在生產時經歷了嚴格的品管控制,我們是市場上無細胞系統中,蛋白質量方面有管控最嚴格的產品之一。此外,對於醣化蛋白,我們內部實驗顯示了ALiCE® 在batch-to-batch皆能再現蛋白醣化特徵與活性(在例如SARS-CoV2 棘蛋白的RBD、Humira和GOD等蛋白方面,都能獲得我們獲得了可再現的表達水準、醣化特徵和蛋白質活性)。
A5 : 是的,我們計劃很快將材料用於大規模製造。ALiCE®對某些蛋白質來說具有成本效益,但也許並非適用於所有蛋白質,具體取決於市場價值。
A6 : 是的,我們將收取商業用途的許可費/授權金。 了解更多
A7 : 當前工具僅用於研究目的。但是,我們正在為客戶和合作夥伴提供 ALiCE®作為 GMP 級材料。
A8 : 由於無細胞裂解物中含有外核素 (exonuclease),因此使用線性DNA,將顯著減少蛋白質產量。但是,改用具有修改/保護端的線性DNA可導致更好的產量。
對於質粒,我們建議所使用的DNA必須確保擁有最少的RNase污染。由於Midi和Maxi在質粒製備中經歷了DNA沉澱步驟,這消除了固有的RNase污染。如果使用Mini質粒DNA(懷疑有RNase污染),那麼使用murine RNase inhibitor將可以提升蛋白質產量。然而,為了獲得最佳產量,我們建議使用Mida或Maxi所純化的質粒DNA。
A9 : 我們已經能生產出高達150 kDa的蛋白質。但是,不能具體說明可以生產的蛋白質的大小是否有上限。

